Schedule your initial consultation today and start your journey towards a pain-free, healthier smile. Contact us now!
According to research, the whitening gel in conventional whitening trays is active for only 25-35 minutes due to the contamination that happens to the whitening gel by saliva over time. KöR whitening KöR-Seal™ trays are specifically designed to seal saliva out of the whitening trays. These trays, in combination with KöR whitening gels provide 6 to 10 hours of whitening activity compared to the typical 25-35 minutes of other systems.With this system, the outcome is always stunning and with little to no tooth sensitivity after treatments. For most patients, all it takes is one or two in-office whitening sessions and a take-home whitening kit to achieve a whiter, more beautiful smile. Ask us about KöR Whitening® during your next visit!

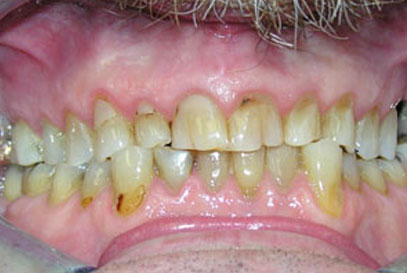
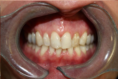
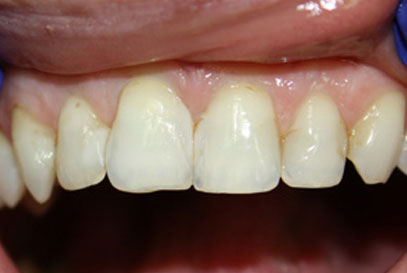
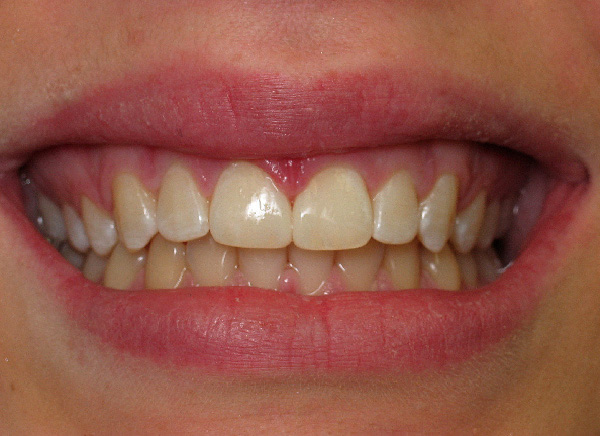
Teeth whitening is a cosmetic dental treatment that lightens the colour of your teeth and removes stains. It’s done with a bleaching agent like hydrogen peroxide or carbamide peroxide.
There are two main types: In-office (chairside) whitening which uses a high concentration of bleaching agent and often a light/laser and Take-home custom trays provided by a dentist with a lower concentration gel for use over several weeks.
A typical in-office treatment is done in one visit and takes about 60 to 90 minutes.
Results vary depending on the whitening method, your diet and oral hygiene habits. Generally results can last from 6 months to 3 years. Touch ups are often needed to maintain the brightest shade.
No. Whitening agents only work on natural tooth enamel. They don’t work on dental restorations like crowns, veneers, bridges or fillings. These restorations may need to be replaced after whitening to match your new lighter tooth colour.
This is a very common side effect, called transient tooth sensitivity. The bleaching agent dehydrates the teeth and allows the chemicals to reach the nerve. It usually subsides within 1-3 days after treatment.What causes the stains on my teeth? Stains fall into two categories: Extrinsic (surface stains from coffee, tea, red wine, tobacco and dark coloured foods) and Intrinsic (stains that are inside the tooth structure, often from medication, trauma or genetics).
Schedule your initial consultation today and start your journey towards a pain-free, healthier smile. Contact us now!
At Dentistry on Wilson, we believe that everyone deserves a beautiful smile; a smile that they feel confident behind and are not afraid to show. With modern-day technology in dentistry, it is now easier than ever to have a full-mouth makeover to get the smile of your dreams. Dental procedures such as porcelain veneers can turn your smile into a beautiful, bright and perfectly aligned set of teeth. Our dental professionals at your Downsview dentist will examine your natural teeth and go through a planning phase for your new smile, where the shape, size, length, and colour of your teeth, as well as your facial appearance and gum tissue are taken into consideration. Teeth defects, such as chips, cracks, discolouration, crookedness and even gaps between the teeth can all be fixed in your makeover.









The treatment plan is tailored to every patient, but a lot of the time it’s a combination of: Restorative: Dental Implants, Crowns, Bridges, Fillings, Root Canal Therapy - the lot.
Foundational: Bone Grafts, Gum work, Tooth Extractions - you know, the bits you need to sort out before you can sort out the smile bit.
Cosmetic: Porcelain Veneers, Teeth Whitening, maybe some Braces or Aligners. If you need a whole new smile, your dentist will probably sort those out for you
No, there's usually a temporary fix - a temporary crown, bridge or denture - to make sure you can eat, talk and smile with confidence while your permanent teeth are being sorted out.
It depends what your insurance is like and what its for. If its for health and function reasons (like filling in gaps or fixing gum problems) - so long as you can claim that sort of thing - then you might get some of the money back. But if its just to make you look better (like Veneers on healthy teeth) then forget it - not going to get a penny.
With proper care and a regular trip or two to the dentist, your new smile should last you years and years, probably even a decade or two - and if you take care of your dental implants, they can last a lifetime.
It’s a real variable, depending on just how complex your case is. If you're just in for some Crowns and Veneers, it might take a couple of months, but if you're going for a full makeover including lots of implants and some bone grafting, well that can take anywhere from 6 months upwards, depending on how your body heals.
You have to commit to good at-home care - so that means brushing and flossing every day - and to your dentist recommended hygiene schedule which may need to be more than the usual twice a year.
Schedule your initial consultation today and start your journey towards a pain-free, healthier smile. Contact us now!
If you have teeth that are irregularly shaped, spaced, discoloured, or chipped, porcelain veneers can be one of the simplest, least intrusive ways to achieve the smile you’ve been wishing for. Best of all, porcelain veneers can be completed in as little as two visits.
Porcelain veneers are composed of thin layers of porcelain that are adhered to the front of a single tooth or multiple teeth. Shape and colour can all be customized to perfectly complement your smile.Once bonded to your teeth, they are strong and virtually undetectable.Porcelain veneers are an excellent method of restoring your smile.

Dental veneers are thin custom-made shells of tooth coloured material (usually a type of porcelain or composite resin) that get stuck onto the front of your teeth to stop them looking a bit ropey.
For Porcelain Veneers, the process typically takes 2-3 visits:
1. Consultation/Planning: Digital mock-ups and planning.
2. Preparation: A small amount of enamel (about 0.5 mm) is removed to make space for the veneer, and temporary veneers are placed.
3. Bonding: The custom-made veneers are cemented onto the tooth surface.
Veneers are a pretty versatile cosmetic fix. They'll sort out all sorts of issues like : - Severe discoloration that just won't budge no matter how much you whiten it - Chips or cracks that have ruined your smile - Gaps between your teeth ( a diastema) - A bit of misalignment - all those uneven teeth - And irregularly shaped or sized teeth too
They can be made from two different types of material: Porcelain or Composite Resin. Porcelain is pretty much stain proof, super strong and looks just like your own teeth. Composite Resin is a bit more affordable and can be done in one go, but it will stain and chip over time.
You are probably a good candidate if you have normal healthy gums and teeth, some healthy enamel to start with, and you don't have a habit of grinding your teeth to bits (bruxism) - just get yourself a night guard and you'll be fine.
The procedure is considered irreversible because the dentist must remove a minimal amount of enamel to ensure a proper fit and natural appearance. Once the enamel is removed, the tooth will always need to be covered by a veneer or a crown.
With proper care: * Porcelain Veneers typically last 10 to 15 years and often longer. * Composite Veneers generally last 5 to 7 years. The lifespan depends heavily on hygiene, diet, and avoiding destructive habits.
Schedule your initial consultation today and start your journey towards a pain-free, healthier smile. Contact us now!
Crowns are ideally suited for teeth that have large chips, cracks, substantial fillings, undergone root canal therapy, or are susceptible to fracturing. A crown acts as a shield, covering the entire surface of the tooth, helping to restore it to its natural shape, feel, and function. Once the crown is cemented into place, it will help prevent further deterioration and tooth loss.

Placing a crown usually requires a minimum of two visits, the first to prepare the tooth and the second to cement the crown. The second visit usually occurs one to two weeks following the initial visit.Between appointments, you will be fitted with a temporary crown while our lab prepares the final crown.
In some instances, we will ask our lab technicians to visit you in-office or at a nearby location to match the porcelain to the neighbouring teeth in order to create a perfect color match.
A bridge is considered a beneficial option for those wanting to replace a partial denture or fill in gaps from extracted teeth. What is a bridge, exactly? A bridge uses several crowns that are adhered together and a false (prosthetic) tooth is placed in each space where there was once a missing tooth. Since these are cemented in place, bridges are not removable and eliminate the need for partial dentures. This procedure can typically be completed in two to three visits.

During your first visit, impressions of the mouth will be taken in order to create an accurate mould. Finding the right colour and fit of the bridge will usually take another one to two appointments to ensure it is functionally and cosmetically perfect.
When required, we will ask our lab technician to visit you in our office so they can match the porcelain to the neighbouring teeth in order to ensure a uniform, natural look.
Between appointments, a temporary crown will be set while the permanent crown is being created in our lab.
Whether “full” or “partial,” the type of denture you select is largely based on your personal need and what works best for you.

A partial denture is also referred to as a “removable partial denture,” since the prosthetic teeth are held in place by clasps that attach themselves to the adjoining teeth. Partial dentures are usually chosen when adjoining teeth are not strong enough to support a dental bridge. Partial dentures can be easily removed each night for cleaning and other activities.
Also known as a “complete denture” or “false teeth,” full dentures are often used when all natural teeth are missing or have been extracted. Full dentures require as much care as natural teeth, including careful cleaning and the removal of plaque buildup.
Some general care tips for dentures include:
Schedule your initial consultation today and start your journey towards a pain-free, healthier smile. Contact us now!
Cosmetic bonding, also called direct or teeth bonding, is a cosmetic and restorative treatment we use at Dentistry on Wilson to improve the appearance and/or function of the teeth that show when you smile. A tooth-colored composite resin is applied and then artfully sculpted directly onto the affected tooth. It is the same biocompatible, natural looking material we use in white fillings.



Learn more about bonding & veneers..
We need to know if you have any underlying issues (gum disease, tooth decay, or bruxism) that we've got to sort out before we can even think about any cosmetic work.
There is temporary throbbing of sensitive teeth and some gum irritation - mostly for whitening - plus the fact that veneers or crowns are a one-way ticket (we can't reverse them any more once we've done the work).
Most of the cosmetic work - whitening, bonding, veneers - is pretty straightforward and we'll use a local anesthetic or sedation to make sure you stay comfy.
Insurance coverage is the primary financial unknown. The general answer is "No," unless the procedure is deemed medically restorative (e.g., a crown for a fractured tooth) rather than purely cosmetic.
We match the right colour tone, shape, and design to make sure the outcome is as natural as possible
Procedures range from a single 60-minute visit (bonding or in-office whitening) to multiple visits over several weeks/months (veneers, crowns, or orthodontics).
Schedule your initial consultation today and start your journey towards a pain-free, healthier smile. Contact us now!
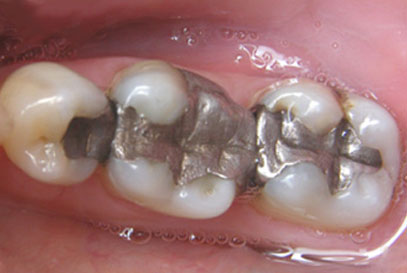
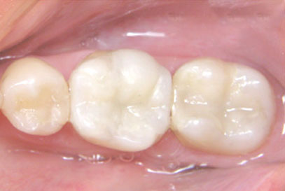
Tooth-coloured fillings are made of a composite resin that holds a number of advantages over traditional silver amalgam fillings. For one, tooth-coloured fillings provide a more natural appearance. It has also been our experience that composite resins can provide a better bond to thinned or weakened tooth structures, helping prevent future breakage. Many patients also report less sensitivity when compared to silver amalgam fillings.
In certain cases, porcelain inlays, onlays, or even gold may be the preferred filling to provide further strength and resistance against wear.
A white dental filling typically requires only one dental visit.The process is relatively simple; once the decay has been removed from the tooth surface, a lining material is placed to protect the deepest part of the cavity. A bonding agent or adhesive is then placed in the tooth. A soft filling material is then placed and formed to replicate the missing tooth. This is then hardened using a specialized blue spectrum light while the tooth and filling are further shaped and polished.


At Dentistry on Wilson we choose to use only composite resin fillings. With that being said, we will only remove silver amalgam fillings if the area below the filling has become jeopardized or the filling has become structurally damage
Learn about the facts about Dental Amalgam.
White fillings are made of composite resin, which is a plastic-like material mixed with fine glass or quartz particles. This material is color-matched to your natural teeth, making the restoration virtually invisible.
The primary reason is aesthetics—they blend naturally with your smile. Additionally, composite resin bonds directly to the tooth structure, requiring less drilling and preserving more of your healthy tooth than silver fillings.
Yes. White composite fillings are considered safe for all patients. Unlike amalgam fillings, they do not contain mercury. Modern composite materials are highly durable and biocompatible.
The placement of a white filling typically takes 30 to 60 minutes per tooth. It requires a multi-step process, including cleaning the cavity, applying a bonding agent, placing the resin in layers, and hardening each layer with a special light.
Yes. It is common to experience minor sensitivity to heat, cold, or pressure for a few days up to a week after the procedure. This is temporary. If the sensitivity is intense or lasts longer than two weeks, contact your dentist.
With proper care, white composite fillings typically last between 5 to 10 years, although many last longer. Longevity depends on the filling's size, its location (back teeth experience more pressure), and your personal oral hygiene habits.
Yes. It is common to experience minor sensitivity to heat, cold, or pressure for a few days up to a week after the procedure. This is temporary. If the sensitivity is intense or lasts longer than two weeks, contact your dentist.
Monday: 9:00am to 6:00pm
Tuesday: 9:00am to 6:00pm
Wednesday: 9:00am to 5:00pm
Thursday: Closed
Friday: 9:00am to 6:00pm
Saturday: 8:00am to 3:00pm (Alternating)
Sunday: Closed
Posted on SZH2025-10-22Trustindex verifies that the original source of the review is Google. Dr Michaels personal touch to his craft is always so welcoming. Aside from his professional skills, he is a fantastic Dentist.Posted on K H2025-09-23Trustindex verifies that the original source of the review is Google. I’ve been going to Dr.Ng since July 2025, she’s super personable and professional. I’m super happy with this dentistry and my dentist!Posted on Alice Greyheart2025-09-22Trustindex verifies that the original source of the review is Google. I love Dr. Michael, so informative, so patient and so good at his craft.Posted on Amber Hibbert2025-09-03Trustindex verifies that the original source of the review is Google. Amazing my daughter are so happy with the dentistPosted on Khadija Ahmed2025-08-15Trustindex verifies that the original source of the review is Google. Dr.Micheal is absolutely amazing at what he does and Dorina is fabulous. Always leave the office very happy.Load more